Киста корня зуба на ортопантомограмме
Кисту стоматологи по праву считают одним из самых распространенных заболеваний. Есть несколько причин появления этого образования. Последствия развития болезни непредсказуемы, не исключены серьезные последствия. Диагностируется киста зуба на ортопантомограмме, точно определить вид и размеры образования во время обычного осмотра невозможно.

В нашем «Первом центре семейной стоматологии» 7stom.com в обследовании используется новейшая цифровая аппаратура, работают опытные диагносты. Высококвалифицированные специалисты выявят заболевание на любой стадии, проведут качественное лечение.
Появление кисты, симптоматика
Главной причиной появления образования является проникновение патогенных микроорганизмов в зону расположения зубных корней. Бактерии могут попасть в глубокие ткани при травме десны, челюсти. Они переносятся с кровотоком при инфекционных заболеваниях. Иногда киста является следствием некачественно очищенных каналов при пломбировании.
Сложность диагностики образования на первых этапах заключается в отсутствии явных симптомов. Организм качественно изолирует инфекционный очаг в капсулу из соединительной ткани, не позволяя ему распространяться. Но в периоды снижения иммунитета болезнетворные микробы начинают активно размножаться. С ростом кисты появляются и симптомы. Они зависят от величины, местоположения образования, индивидуальной реакции организма. Это может быть:
- припухлость десны;
- головная боль;
- повышенная температура;
- свищ.
Возникает вопрос, видно ли кисту зуба на снимке, когда выраженной симптоматики нет. Да, рентгеновское обследование позволяет обнаружить, оценить образование.
Проведение рентгенографии
На сегодняшний день рентгенография является основным способом диагностики этого стоматологического заболевания. При подозрении на наличие кисты назначается обследование. Это может быть внутриротовой снимок, отражающий определенный участок челюсти, зубного ряда, или панорамное изображение, демонстрирующее всю зубочелюстную систему, гайморову пазуху.
Рентгеновская съемка позволяет:
- выявить наличие образования;
- определить местоположение и точные размеры;
- найти причину появления.
Развернутую информацию стоматологу предоставляет ортопантомограмма. Нередко выявляется киста корня зуба на панорамном снимке, выполненном перед протезированием для оценки состояния всей зубочелюстной системы. Иногда при таком обследовании выявляется несколько образований.
Для разработки схемы оптимального лечения конкретной кисты требуются более точные сведения о ее размерах и форме. Выполняется прицельный снимок зуба, на корне которого имеется образование.
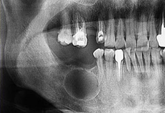
Киста на рентгеновском снимке
Результаты рентгенографии изучает врач, который будет проводить лечение. Но многие пациенты желают знать, как выглядит киста зуба на снимке, чтобы убедиться в наличие образования. Капсула с гнойным содержимым имеет вид темного пятна на фоне светлых десневых тканей, зубных корней. На изображении можно определить контур кисты, оценить ее размеры.
Специалист определяет не только параметры. Образование в межкорневом пространстве, в десневой ткани, киста корня зуба на рентгене позволяют выявить причину появления. При проникновении инфекции из кровотока, вследствие пульпита, периодонтита формируется радикулярное образование. Резидуальная форма появляется из-за попадания болезнетворных микробов после удаления зуба.
Высокоточное цифровое оборудование, установленное в нашем «Первом центре семейной стоматологии» http://www.7stom.com/, гарантирует правильность диагноза.



